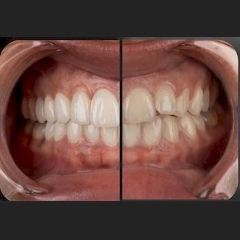
Уверенная улыбка — мечта многих людей, и в Турции она становится более доступной, чем когда-либо. Здесь дизайн улыбки — это не просто отбеливание или виниры. Это тщательно продуманный процесс, в котором стоматологи объединяют цифровые технологии, художественный подход и медицинскую точность, чтобы создать улыбку, идеально подходящую вашему лицу. Пациенты со всего мира приезжают в Турцию не только из-за доступных цен, но и благодаря опыту врачей и современным технологиям, которые сопоставимы с лучшими клиниками мира. Согласно опросам, более 77% стоматологических пациентов в Турции удовлетворены своим лечением, а международные исследования подтверждают, что улучшение эстетики зубов часто повышает уверенность в себе и качество жизни. (MDPI, 2021)
Плюсы и минусы дизайна улыбки
Как и большинство косметических процедур, дизайн улыбки имеет множество преимуществ, но также и несколько нюансов, которые стоит учитывать заранее. Понимание обеих сторон поможет сформировать реалистичные ожидания и чувствовать себя увереннее в своем выборе.
Преимущества дизайна улыбки
- Индивидуальный результат: Лечение подбирается с учетом формы лица, структуры зубов и даже особенностей личности.
- Повышение уверенности: Исследования показывают, что люди чувствуют себя комфортнее в обществе и на работе после улучшения улыбки.
- Современные технологии: В турецких клиниках часто используют программное обеспечение для цифрового дизайна улыбки, системы CAD/CAM и материалы высокого качества, такие как цирконий и E-max.
- Доступная стоимость по сравнению с Европой или США: Многие пациенты экономят до 50–70% без потери качества.
- Комплексный подход: От отбеливания и виниров до имплантов и ортодонтии — все можно объединить в один план лечения.
Недостатки дизайна улыбки
- Подготовка зубов: Некоторые процедуры требуют минимального снятия эмали, что является необратимым процессом.
- Период привыкания: Некоторым пациентам нужно время, чтобы адаптироваться к новому виду улыбки или изменившемуся прикусу.
Что ожидать со временем
Дизайн улыбки — это не одноразовая процедура, о которой можно забыть. Со временем результат может немного меняться. Сразу после лечения большинство пациентов замечают мгновенное улучшение — зубы выглядят светлее, форма становится гармоничнее, и появляется уверенность буквально с первого дня.
Через несколько месяцев вы привыкаете к своей новой улыбке. Небольшие изменения прикуса обычно происходят естественным образом, хотя иногда пациенты возвращаются для корректировок. При хорошем уходе и регулярных осмотрах виниры или коронки могут служить 10 лет и дольше. Такие материалы, как цирконий и E-max, особенно долговечны, хотя даже они со временем требуют замены — примерно через 10–15 лет.
Стоит помнить, что ваши естественные зубы и десны продолжают стареть. Линия десен может немного сместиться, а зубы без покрытия могут изменить оттенок. Это не портит результат, но иногда может потребоваться повторное отбеливание или замена старых реставраций, чтобы сохранить свежий вид улыбки.
Итог: дизайн улыбки — это долговременный результат, но не «навсегда». При правильном уходе эффект сохраняется на многие годы, а последующие обновления проходят просто и без лишних сложностей.
Планирование поездки и восстановления
Процедуры дизайна улыбки обычно не требуют сложного восстановления — большинство людей возвращаются к обычной жизни быстро, испытывая лишь небольшую чувствительность в первые дни. Главное — правильно рассчитать время пребывания в Турции, чтобы не спешить.
- Средняя продолжительность пребывания: Планируйте 7–10 дней для консультации, цифрового планирования, лабораторных работ и финальных установок.
- Сложные случаи: Если лечение включает импланты или ортодонтию, может потребоваться более длительное пребывание или несколько визитов.
- Восстановление: Почти без периода реабилитации; легкая чувствительность может сохраняться несколько дней.
- Корректировки: Дополнительные дни в Турции позволяют врачу при необходимости подкорректировать результат до вашего отъезда.
- Образ жизни: Строгих ограничений нет, но мягкая пища в первые дни помогает избежать дискомфорта.
В целом восстановление проходит легко, а дополнительное время в Турции позволит убедиться, что ваша улыбка полностью готова. Многие пациенты используют эти дни, чтобы посмотреть достопримечательности — Стамбул, Анталью или Каппадокию, так что ожидание превращается в приятную часть поездки.
Стоимость дизайна улыбки в Турции
Одна из главных причин, по которой люди выбирают Турцию для дизайна улыбки, — это сочетание качества и цены. Стоимость здесь на 50–70% ниже, чем в Западной Европе или США, при этом клиники используют известные международные бренды, такие как Straumann, Nobel Biocare и E-max. Итоговая цена зависит от количества зубов, выбранных материалов и необходимости дополнительных процедур (например, имплантации или костной пластики).
Вот примерные расценки, на которые можно ориентироваться:
- Циркониевая коронка – от 100 до 200 евро за зуб в зависимости от концентрации и бренда.
- Коронка E-max – 190–275 евро за зуб.
- Ламинат-виниры – 220–320 евро за зуб (в зависимости от используемого материала).
- Отбеливание – 80–200 евро за сеанс.
- Композитное восстановление – около 300 евро .
- Зубные импланты – широкий диапазон: от 220 евро (базовые бренды) до 1,200 евро (премиум-керамические или Straumann).
- Комплексное обновление улыбки – 16 циркониевых коронок примерно от 2,700 евро или 16 коронок/виниров E-max от 4,000 евро.
Что это значит на практике
- Полный дизайн улыбки с 20 циркониевыми коронками может стоить примерно 3,400–4,000 евро.
- Такое же лечение с использованием E-max обойдется в 5,000–6,000 евро.
- Добавление имплантов или сложных хирургических процедур (например, синус-лифтинг или костная пластика) увеличит стоимость, но она все равно останется ниже, чем в западных странах.
Большинство клиник также предлагают дополнительные услуги — трансфер из аэропорта, проживание в отеле и контрольные осмотры, что делает поездку для иностранных пациентов еще удобнее.
Ваш путь к улыбке с Beauty by Experts Medical
В компании Beauty by Experts Medical наша задача — сделать вашу поездку на лечение за границу максимально комфортной, безопасной и спокойной. Мы понимаем, что выбрать подходящего врача бывает непросто, поэтому берём эту задачу на себя. Наша команда тщательно проверяет каждую клинику и каждого хирурга, которых мы рекомендуем. Мы оцениваем опыт, отзывы пациентов, сертификаты, а также лично посещаем клиники, чтобы убедиться в их качестве. После вашего обращения мы подбираем врача, который не только обладает нужной квалификацией, но и подходит именно вам по ожиданиям и подходу к лечению.
С первой консультации вы никогда не остаётесь одни. Мы организуем бесплатные онлайн-встречи с врачом, при необходимости переводим медицинские документы и составляем полный план лечения. Когда приходит время поездки, мы бронируем трансферы, отели рядом с клиникой и предоставляем медицинского координатора, который сопровождает вас на каждом этапе. Во время операции и восстановления мы всегда на связи — отвечаем на вопросы, поддерживаем контакт с врачом и помогаем во всех ситуациях. А после возвращения домой мы продолжаем сопровождение, чтобы вы всегда чувствовали поддержку.
Почему пациенты выбирают нас
- Индивидуальный подбор врача: Мы находим стоматолога, который подходит именно вам, а не просто процедуре.
- Бесплатные консультации: Никаких дополнительных комиссий, вы оплачиваете только напрямую в клинике.
- Полная организация поездки: Перелёты, отели, трансферы и визиты в клинику планируются заранее.
- Круглосуточная поддержка: Координаторы остаются на связи до, во время и после операции.
- Надёжность и безопасность: Мы работаем только с сертифицированными врачами и клиниками, прошедшими международную аккредитацию.
- Опыт, которому доверяют: Более 12 000 пациентов уже прошли лечение с нашей помощью.
Мы любим говорить, что не просто организуем операции — мы остаёмся рядом с вами в одном из самых важных решений вашей жизни.
Лучшие врачи по дизайну улыбки в Турции
Выбор подходящего врача — один из самых сложных этапов при планировании восстановления улыбки за границей. В Турции сотни клиник и специалистов, и бывает непросто понять, кому действительно стоит доверять. Здесь помогает наш опыт.
Наши рекомендации основаны на реальных историях более чем 12 000 пациентов, которые уже прошли лечение с нашей помощью. Мы оцениваем результаты, отзывы, квалификацию врачей и уровень сопровождения до и после процедур. Поэтому список лучших клиник и специалистов, который мы публикуем, не является рекламой — он основан на проверенных результатах и опыте реальных людей.
1. Доктор Эртан Этемоглу
Имея более 27 лет опыта в стоматологии, доктор Эртан Этемоглу заслужил прочную репутацию в области эстетической стоматологии и дизайна улыбки. Его специализация включает имплантацию, отбеливание зубов и создание так называемой «голливудской улыбки», сочетающей функциональность и естественную эстетику. Он сертифицирован Турецкой стоматологической ассоциацией и Министерством здравоохранения, регулярно участвует в международных конференциях и научных сообществах, оставаясь в курсе современных методов эстетического восстановления. Пациенты выбирают его за точность, внимание к деталям и гармоничное сочетание медицинского подхода с художественным вкусом.
2. Доктор Айлин Туран
Доктор Айлин Туран занимается стоматологией с 1994 года и имеет более 25 лет опыта в эстетической стоматологии и преобразовании улыбки. Она работает с винирами, отбеливанием, имплантами и керамическими реставрациями — ключевыми элементами современного дизайна улыбки. Доктор является членом Академии эстетической стоматологии и прошла более десяти продвинутых курсов, включая имплантологию и лазерные технологии. Пациенты ценят её умение сочетать техническое мастерство и художественный подход, будь то простое отбеливание или полная эстетическая реконструкция улыбки.
3. Доктор Эркан Эмрен
С 18-летним опытом работы в стоматологии доктор Эркан Эмрен известен своей экспертизой в цифровом дизайне улыбки. Он активно применяет технологии Digital Smile Design, E-max ламинирование и монолитный цирконий для достижения естественных и долговечных результатов. Его специализация также охватывает имплантацию и современные методы, такие как All-on-4 и All-on-6, которые особенно востребованы пациентами, нуждающимися в полном восстановлении зубного ряда. Доктор регулярно участвует в научных конференциях и профессиональных ассоциациях, совершенствуя методы и сочетая точность с эстетическим видением.
Лучшие клиники для дизайна улыбки
Выбор клиники так же важен, как и выбор врача. Современные технологии, качество лаборатории, уровень гигиены и последующий уход играют ключевую роль в конечном результате. В Турции много стоматологических центров, предлагающих эстетические процедуры, но не все из них соответствуют высоким международным стандартам. Клиники, которые мы рекомендуем, сочетают высокий уровень стоматологии с комфортными условиями для иностранных пациентов.
1. Клиника Интер Дент
Клиника Интер Дент работает с 1991 года и заслужила доверие более 80 000 пациентов. Клиника расположена в районе Кадыкёй — одном из самых оживлённых районов Стамбула — и сочетает современные технологии с индивидуальным подходом. Команда клиники специализируется на эстетической стоматологии, предлагая как лёгкие корректировки, так и полные реконструкции зубного ряда, включая виниры, импланты и «голливудские улыбки».
Главное преимущество клиники для иностранных пациентов — сочетание качества и доступной цены. Такие процедуры, как импланты All-on-4 и All-on-6, отбеливание и циркониевые коронки, выполняются по международным стандартам, оставаясь при этом более выгодными, чем в Европе.
Дизайн улыбки в клинике Интер Дент:
- Планирование Digital Smile Design с панорамными рентгенами и 3D-сканами
- Виниры, люминиры и циркониевые коронки для естественного внешнего вида
- Решения All-on-4 и All-on-6 для полного восстановления зубного ряда
- Отбеливание с технологией холодного света, безопасное для эмали
Контактная информация:
- Сайт: www.inter-dent.com.tr
- Телефон: 0 216 369 69 86
- Email: info@inter-dent.com.tr
- Адрес: Bağdat Caddesi No: 333 / 2 Erenköy — İstanbul — TÜRKİYE
- Facebook: www.facebook.com/people/İnter-Dent-Ağız-ve-Diş-Sağlığı-Kliniği/100076010562231
- Instagram: www.instagram.com/interdent_dis
2. Клиника Эснан
Клиника Эснан — одно из самых известных имён в стоматологии Турции, с четырьмя филиалами в Стамбуле и более чем 1,2 миллионами пациентов, прошедших лечение с 2007 года. Клиника заработала репутацию благодаря сочетанию современных цифровых технологий и высокого уровня практического мастерства, что делает её популярным выбором среди тех, кто приезжает в Турцию ради дизайна улыбки. От 3D-сканирования до цифрового планирования улыбки — каждый этап построен так, чтобы пациент заранее видел, каким будет результат лечения.
Отличительная черта Эснан — масштаб и точность. Более 60 стоматологов, включая специалистов по эстетике, имплантологов и ортодонтов, обеспечивают доступ ко всем видам стоматологических услуг в одном месте. Независимо от того, нужны ли пациенту импланты, виниры, коронки или полная реконструкция улыбки, клиника использует качественные материалы, такие как цирконий и E-max, и строго придерживается международных стандартов безопасности. Клиника имеет аккредитации JCI и ISO, а уровень удовлетворённости пациентов превышает 99%.
Дизайн улыбки в клинике Эснан:
- Цифровое планирование улыбки с помощью внутриротовых сканеров и 3D-визуализации
- Создание «голливудской улыбки» с использованием виниров, люминиров и керамических реставраций
- Широкий выбор имплантов, включая системы All-on-4, All-on-6 и All-on-8
- Сертифицированные процедуры отбеливания для безопасного и стойкого результата
Контактная информация:
- Сайт: www.esnandentalclinics.com
- Телефон: +1 734 530 1001
- Email: care@esnanclinics.co.uk
- Адрес: Ayazağa Mahallesi Azerbaycan Caddesi Skyland İstanbul D Blok 4 No’lu Giriş, No:333 Atrium B — Kat3, 34415 Sarıyer/İstanbul
- LinkedIn: www.linkedin.com/company/esnandentalclinics
- Facebook: www.facebook.com/esnaninternational
- Instagram: www.instagram.com/esnandentalclinics
3. Клиника YEG
Клиника YEG— молодая, но быстро развивающаяся стоматологическая клиника в Стамбуле, которая уже заслужила доверие иностранных пациентов. Около 95% клиентов приезжают из-за рубежа, что говорит о сильной ориентации клиники на медицинский туризм и комфортное обслуживание гостей. В клинике сочетаются современные технологии и собственная зуботехническая лаборатория, что позволяет завершать процедуры, такие как имплантация или установка виниров, всего за несколько дней.
Команда из 40 специалистов и заявленный показатель успеха в 97% демонстрируют, что клиника YEG сочетает высокий профессиональный уровень с современным и уютным пространством, благодаря чему пациенты часто возвращаются и рекомендуют клинику другим.
Дизайн улыбки в клинике YEG:
- Собственная лаборатория для быстрого изготовления виниров, коронок и имплантов
- Широкий выбор виниров, включая циркониевые и E.max
- Импланты ведущих мировых брендов (Straumann, Nobel Biocare, Osstem, Zirkonzahn)
- Системы All-on-4 и All-on-6 для полного восстановления зубного ряда
Контактная информация:
- Сайт: yegclinic.com
- Телефон: +90 539 927 08 99
- Email: info@yegclinic.com
- Адрес: TEŞVİKİYE MH. VALİKONAĞI CD. NO 3, KAT:1 NİŞANTAŞI / ISTANBUL / TURKIYE
- Facebook: www.facebook.com/yegdentalclinic-100420616142986
- Instagram: www.instagram.com/yegdentalclinic
- X (Twitter): https://twitter.com/yegdentalclinic
Почему выбор стоматолога имеет решающее значение
Когда речь идёт о дизайне улыбки, важны и клиника, и технологии, но ключевую роль играет именно врач, которому вы доверяете свои зубы. Даже с самым современным оборудованием результат зависит от опыта, точности и художественного взгляда доктора. Малейшие детали — угол установки винира или оттенок коронки — могут полностью изменить естественность улыбки.
Именно поэтому большинство пациентов, приезжающих в Турцию, тщательно изучают биографию и результаты работы стоматологов, а не выбирают клинику случайно. За годы работы через Beauty by Experts Medical прошли более 12 000 пациентов, и наши рекомендации основаны не на рекламе, а на реальных результатах. Иными словами, правильный выбор врача — это не просто этап лечения, а гарантия того, что новая улыбка будет выглядеть и ощущаться естественно.
Что может произойти, если выбрать неправильного врача:
- Виниры или коронки могут выглядеть неестественно и не подходить к чертам лица
- Импланты могут не прижиться при неправильной установке
- Может появиться нарушение прикуса, вызывающее дискомфорт или напряжение в челюсти
- Зубы могут стать чувствительными или повредиться из-за неправильной техники
- Может потребоваться дорогостоящее исправление ошибок или повторное лечение
Удовлетворённость пациентов и уверенность — в чём суть?
Пациенты в Турции в целом довольны качеством стоматологических услуг. Крупное исследование, охватившее девять провинций, показало, что 82,1% пациентов удовлетворены уровнем конфиденциальности и общим уходом, хотя длинные очереди остаются минусом. Другое исследование, проведённое среди студентов университета в Измире, показало, что 77,5% участников были «очень довольны» или «в основном довольны» визитами к стоматологу (MDPI, 2021).
В целом система стоматологической помощи в Турции вызывает доверие. Но дизайн улыбки идёт дальше — это не просто лечение кариеса или чистка зубов, а возможность выйти из клиники с улыбкой, которую вы действительно хотите показывать.
Не только про внешний вид
Эффект от дизайна улыбки выходит за рамки эстетики. Исследование среди студентов из Сербии показало тесную связь между неудовлетворённостью внешним видом зубов и низкой самооценкой. Для оценки использовались шкалы PIDAQ (психосоциальное влияние эстетики зубов) и Розенберга, и результаты были очевидны — люди, недовольные своей улыбкой, чувствовали себя менее уверенно (BMC Oral Health, 2024).
И на этом влияние не заканчивается. Другое исследование среди пациентов с ортодонтическим и эстетическим лечением показало, что после улучшения улыбки их самооценка также выросла. Люди стали чувствовать себя свободнее в общении — ведь если не беспокоишься о внешнем виде зубов, гораздо легче просто улыбаться и наслаждаться моментом (MDPI, 2024).
Прирост уверенности
Подростки — самый наглядный пример того, насколько важна улыбка. Исследования показали, что молодые люди, довольные своей улыбкой, набирают больше баллов по тестам самооценки, чем те, кто критично относится к своей внешности (Progress in Orthodontics, 2023). Это прямое подтверждение того, что восприятие своей улыбки напрямую влияет на уверенность в себе.
Для пациентов, приезжающих в Турцию ради дизайна улыбки, именно это становится главным результатом. Да, они получают современные процедуры — виниры, циркониевые коронки, отбеливание — но самое ценное, что возвращается, это уверенность улыбаться без сомнений. И именно это пациенты вспоминают чаще всего.
Заключение
Дизайн улыбки в Турции перестал быть просто модным направлением — это надёжный путь для пациентов со всего мира, которые хотят получить высокое качество без чрезмерных затрат. Благодаря опытным стоматологам, современным клиникам и передовым цифровым технологиям Турция предлагает уникальное сочетание, которому трудно найти аналог. Главное — сделать правильный выбор: врача, клиники и подходящего плана лечения под ваши индивидуальные цели.
Тысячи пациентов уже приезжают сюда для установки виниров, имплантов и полного восстановления улыбки — их результаты говорят сами за себя. Если вы задумываетесь о таком шаге, уделите время исследованию, задавайте нужные вопросы и обращайтесь за помощью к экспертам. Именно здесь мы вступаем в дело — в Beauty by Experts Medical мы помогаем выбрать не просто врача, а того, кто действительно подходит вам. Так ваша новая улыбка будет не только красивой, но и естественной, принося уверенность на долгие годы.
FAQ
Как долго служат коронки E-max или циркониевые коронки?
При правильном уходе коронки E-max служат 10–15 лет, а циркониевые — до 15–20 лет. Срок службы зависит от силы прикуса, гигиены полости рта и регулярных визитов к стоматологу.
Можно ли совместить импланты и виниры в одном плане лечения?
Да, конечно. Многие процедуры по дизайну улыбки сочетают несколько решений — например, импланты для замены утраченных зубов и виниры для эстетики передних. Врач планирует всё так, чтобы итоговый результат выглядел гармонично и естественно.
Есть ли риск отторжения имплантов в Турции?
Отторжение встречается крайне редко, если используются качественные импланты от брендов Straumann, Nobel Biocare или Osstem. Основные риски связаны с инфекцией или неправильной установкой, поэтому важно выбрать опытного врача.
Нужно ли приезжать в Турцию несколько раз для лечения?
Это зависит от процедуры. Виниры и коронки можно установить за 5–7 дней. Импланты требуют двух визитов с интервалом 3–6 месяцев, хотя при использовании технологии All-on-4 иногда всё возможно за одну поездку.
Какие современные материалы применяются в турецких клиниках?
Лучшие клиники используют цирконий, керамику E-max, фрезеровку CAD/CAM и цифровые сканеры. Некоторые также предлагают лазерное отбеливание и 3D-печатные хирургические шаблоны для имплантации.
Как именно помогает Beauty by Experts Medical?
Мы подключаемся на самом сложном этапе — выборе подходящего врача. Наша команда помогла более 12 000 пациентам и подбирает стоматолога, исходя из особенностей случая, ожиданий и бюджета. Мы также берём на себя организацию поездки — от консультации до координации с клиникой — чтобы вы могли сосредоточиться на лечении, а не на организационных вопросах.








